
Sindroma “Text Neck”
MIH (Hipomineralizimi i molarëve dhe incizivëve) është një patologji që shfaqet si pasojë e një
çrregullimi në përbërjen e smaltit të dhëmbëve (hipomineralizim). Kjo gjendje prek kryesisht
molarët e parë të përhershëm, me ose pa përfshirjen e dhëmbëve prerës (incizivëve). Gjithnjë e
më shpesh, kjo sëmundje po vërehet edhe te molarët e dytë të qumështit (Hipomineralizimi i
Molarëve të Qumështit – HSPM/MMH).
Si shfaqet sëmundja klinikisht?
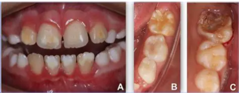
Dhëmbët shfaqin njolla që variojnë nga e bardha në të verdhë-kafe. Sa më të mëdha dhe më të
errëta të jenë zonat e çngjyrosura, aq më i rëndë është çrregullimi i mineralizimit. Mund të
preken vetëm pjesë të caktuara të dhëmbit ose e gjithë kurora. Dhëmbët me çngjyrosje të verdhë-
kafe kanë prirje më të lartë për t’u thërrmuar, pavarësisht higjienës orale. Nga kjo tendencë,
sëmundja mori emrin “dhëmbë si prej shkumësi”. Gjendja mund të përkeqësohet kur dhëmbët
bëhen tepër të ndjeshëm ndaj temperaturave (të nxehtit/ftohtit) ose thërrmohen plotësisht, duke
shkaktuar shqetësim të madh te fëmijët dhe prindërit.
Si lind kjo sëmundje?
Shkaku i MIH-it nuk është ende plotësisht i qartë. Mendohet se bëhet fjalë për një ndërveprim
faktorësh që veprojnë gjatë periudhës së formimit të smaltit. Për dhëmbët e prekur, kjo periudhë
përfshin kohën nga faza para lindjes deri në vitet e para të jetës. Si shkaqe të mundshme
diskutohen: sëmundjet infektive gjatë tre viteve të para të jetës, sëmundjet kronike të rrugëve të
frymëmarrjes, përdorimi i antibiotikëve, si dhe toksinat mjedisore (si bisfenoli A, që gjendet te
plastika).
Shpeshtësia e sëmundjes MIH
Mbështetur në studimet ndërkombëtare, prevalenca globale e sëmundjes luhatet midis 10% dhe
30%. Në Shqipëri, prevalenca është rreth 14%, që do të thotë se 1 në 7 fëmijë vuan nga
“dhëmbët si prej shkumësi”.
Kur duhet planifikuar vizita te dentisti?
Rekomandohet që vizita e parë të kryhet rreth moshës 2.5 vjeç, kohë kur dalin molarët e dytë të
qumështit. Kjo mundëson fillimin e hershëm të ndjekjes dhe kujdesit. Ndërkohë, molarët e parë
të përhershëm dalin rreth moshës 5.5 deri në 6 vjeç. Në këtë periudhë, dhëmbët duhet patjetër të
vlerësohen nga një mjek stomatolog për fëmijë (pedodont).

Fjalë kyçe: MIH – Hipomineralizimi i molarëve dhe incizivëve; sëmundja e “dhëmbëve si prej
shkumësi”; hipomineralizimi i smaltit; ndjeshmëria dentare; çngjyrosja e dhëmbëve; molarët e
përhershëm; shëndeti oral te fëmijët; pedodoncia.
Këshilla dhe trajtimi vijojnë në rubrikën e ardhshme.



