- A e njihni sëmundjen e “dhëmbëve si prej shkumësi” (MIH – Hipomineralizimi i molarëvedhe incizivëve) te fëmijët?
- Sindroma “Text Neck”
- Roli i vitaminës D në shëndetin oral
- Rëndësia e PSA-së dhe PHI-së (Prostate Health Index) në diagnostikimin e kancerit të prostatës
- Metoda EBOO
- Trajtimi Fizioterapeutik i Tendinitit të Akilit
- Sëmundja e duarve, këmbëve dhe gojës
- Vonesat e zhvillimit motorik. Njohja e shenjave dhe ndërhyrja e hershme.
- DISFUNKSIONI I ARTIKULLACIONIT TEMPOROMANDIBULAR (TMJ)
- GJUHA GJEOGRAFIKE
- Sëmundja Kawasaki
- Cistet odontogjene
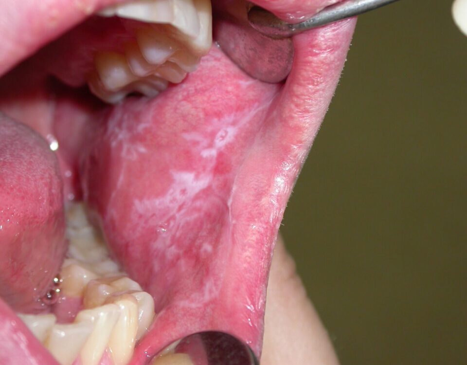
- Leukoplakia
- Ushtrimet në shtatzëni.
- Fizioterapia dhe Artriti Reumatoid
- PIRJA E KAFESË DHE EFEKTET E SAJ NË ORGANIZËM
- Goja e thatë (kserostomia)
- Tumoret e gjëndrave të pështymës
- Ankiloglosia ose gjuha e lidhur
- Fluoroza dentare
- Faringiti dhe Tonsiliti te fëmijët
- Sëmundjet e lindura të zemrës te fëmijët
- Fizioterapia në dhimbjet e nofullës. Artikulacioni temporomandibular.
- GLOSITI – INFLAMACIONI I GJUHËS
- Bunioni i këmbës (Hallux Valgus) dhe rëndësia e fizioterapisë.
- Infeksionet në veshka
- ÇFARË ËSHTË REZISTENCA NDAJ INSULINËS?
- Psikozat Akute
- Psikozat kronike
- Neurozat Akute
- Neurozat Kronike
- Shtohen rastet e diabetit në mosha të reja dhe pediatrike!
- Trombocitopenia tek Fëmijët: Çfarë Duhet të Dini
- Lezionet Orale Prekanceroze: Njohja dhe Parandalimi i Kancerit Oral
- Torticollis (qafa e shtrembër) dhe rëndësia e pozicionimit të bebit
- Fizioterapia në Osteoporozë
- A E ZËVENDËSON INTELIGJENCA ARTIFICIALE (IA) ROLIN E MJEKUT?
- Otiti te Fëmijët (Infeksioni i veshit)
- Infeksionet e traktit urinar te fëmijët
- Çrregullimi i shijes
- MYASTENIA GRAVIS
- KOLESTEROLI dhe AKTIVITETI FIZIK
- Kanceri Oral / Kanceri i Gojës
- Çrregullimi i Spektrit të Autizmit
- Purpura anafilaktoide (Sindromi Schönlein-Henoch) te fëmijët
- A e zbulon Inteligjenca Artificiale kancerin e gjirit më mirë se mjekët?
- Rëndësia e lojës barkas (tummy time) në zhvillimin e fëmijës gjatë vitit të parë të jetës
- Testimi dhe identifikimi i shkaktarëve të infeksioneve në më pak se 2 orë – Çip i integruar me AI për përcaktimin e antibiotikut të duhur
- Menaxhimi i Sëmundjes së Parkinsonit me anë të ushtrimeve
- OBEZITETI PO SHNDËRROHET NË EPIDEMI BOTËRORE!
- Sëmundja këmbë – duar – gojë
- Fizioterapia nuk është masazh!
- Shpatulla e ngrirë (frozen shoulder) dhe rëndësia e ushtrimeve
- MALOKLUZIONI I KLASËS SË TRETË
- MALOKLUZIONI I KLASËS SË DYTË
- Gingiviti
- Temperatura te Fëmijët: Si të Veprojmë?
- Dhimbjet e Kyçit të Dorës tek Personat që Punojnë në Zyrë
- Ndjeshmëria e Dhëmbëve
- Llojet e Malokluzioneve dhe Koha e Trajtimit të Tyre
- Aktiviteti fizik tek fëmijët dhe rekomandimet sipas moshës
- Gurët në tëmth
- Infeksionet nga meningokoku tek fëmijët
- Halitoza (Era e keqe e gojës)
- Bruksizmi: Çfarë është dhe si trajtohet?
- Karrigia është një nga problemet më të mëdha të shekullit të 21-të
- Dilema e çantës së shkollës. Le të mbrojmë shtyllën kurrizore të fëmijëve!
- HEMOFILIA
- Edema Pulmonare
- Tuberkulozi (TB): Çfarë Duhet të Dini
- Parandalimi i dhimbjeve dhe dëmtimeve të qafës
- Pneumonia: Çfarë Duhet të Dini
- Sindromi i Shock-ut
- Çfarë duhet të dimë për temperaturën e trupit tonë?
- Oksigjenoterapia në shtëpi
- Paracetamoli
- Miokarditi te Fëmijët
- Hipoglicemia dhe Mjekimi i Saj
- Hiperglicemia dhe Mjekimi i Saj
- Diabeti Mellitus Tipi 2: Një Sëmundje e Shpërhapur dhe Menaxhimi i Saj
- Diabeti Mellitus Tipi i Parë: Një Pasqyrë e Sëmundjes dhe Menaxhimi i Saj
- Erozioni dentar
- Roseola e fëmijës (Roseola Infantum)
- PROBLEMATIKAT E KAFSHIMIT TË DHËMBËVE DHE NOFULLAVE – MALOKLUZIONET DENTARE
- Fizioterapia në trajtimin e Fibrozës Kistike
- Hernia Diskale
- Pankreatiti akut
- Lupus Eritematosus
- Psoriaza: Çfarë është Psoriaza
- Fruthi
- Anemia Ferrodefiçitare (AFD) – Anemia nga Mungesa e Hekurit
- Bronkioliti
- Kanceri kolorektal (kolonit)
- Hepatiti B dhe C: Infeksionet Virale të Mëlçisë
- Çfarë është Kandidoza?
- Infeksioni Gastrik i Shkaktuar nga Helicobacter pylori: Një Vështrim i Detajuar
- Astma te fëmijët
- Pneumotoraksi
- AFTA
- Obeziteti te Fëmijët
- Artriti Rheumatoid (RA)
- VDEKJET E PAPRITURA – SHKAQET
- Dëmtimet e pleksusit brachial gjatë lindjes
- ÇFARË ËSHTË HEMOPTIZIA APO NXJERRJA E GJAKUT ME KOLLITJE?
- Urtikaria te fëmijët
- FIBRILACIONI ATRIAL (FA)
- Sindroma e Zorrës së Irritueshme
- Tiroiditi Hashimoto
- Ortodoncia, aplikimi tek fëmijët; trajtimet e mundshme
- Kariesi dentar – Çfarë është dhe si trajtohet?
- Pedodontia – Kujdesi dentar për fëmijët
- SËMUNDJA E MISHRAVE TË DHËMBËVE (PERIODONTITI)
- Çfarë duhet të dimë për dhimbjet e gjoksit?
- Rinofaringiti rrufa dhe kolla te fëmijët
- Sinkopa Kardiake dhe Lipotimia
- Hipertensioni Arterial (HTA)
- Përdorni Teknologjinë
- Komunikimi dhe Informacioni
- Ambienti dhe Komoditeti
- Qasja në Shërbime
- Profesionalizmi
- Cilësia e Kujdesit
- Vlerësoni Përvojën Tuaj
- Vlerësimet e Pacientëve
- Angazhohuni në Kujdesin Tuaj
- Vizitoni Online dhe Pyesni
- Verifikoni Sigurimin dhe Koston
- Lexoni Vlerësimet
- Verifiko Kualifikimet dhe Përvojën
- Gjej Strukturen
- Kerko Mjekun
- Identifikoni Nevojat Tuaja Shëndetësore
- Autizmi
- Bronkioliti
- Sëmundja Alzhaimer
- Hepatiti B
- Infeksionet akute te rrugeve te frymëmarrjes, çfarë duhet të dimë?
- HIV/AIDS
- Hemoglobinopatitë
- Fibroza kistike (Cysic Fibrosis)
- Semundja Parkinson
- EPILEPSIA
- Kanceri i zorres së trashë
- Kanceri i Qafës së Mitres
- Kanceri i mushkërive
- Influenza (gripi stinor)
- Kanceri i gjirit
- Kanceri i pankreasit
- Skolioza
- Çfarë është parandalimi dhe për çfarë shërben ai?
- Çfarë është rrezatimi?
- SËMUNDJET E ZEMRËS
- Çfarë janë vaksinat?
- Sëmundja Huntington (HD)
- Skleroza Laterale Amiotrofike – SLA
INFO POINT
A e njihni sëmundjen e “dhëmbëve si prej shkumësi” (MIH – Hipomineralizimi i molarëvedhe incizivëve) te fëmijët?
MIH (Hipomineralizimi i molarëve dhe incizivëve) është një patologji që shfaqet si pasojë e njëçrregullimi […]
GJEJ MJEKUN DHE VLERËSO SHËRBIMIN
Komentet tuaja i ndihmojnë të tjerët të gjejnë kujdesin e duhur dhe vetë operatorët e mjekët të përmirësohen.
JETO SHËNDETSHËM
REZERVONI VIZITËN. Është e lehtë dhe falas!
SËMUNDJE DHE DIAGNOZA SPECIFIKE
PYET MJEKUN - TELEMJEKËSI
Informacione shëndetësore të cilave mund t'u besosh. Gjithëpërfshirës dhe i shqyrtuar nga ekspertët: Specialist, Doktorët, Nutricionistët, etj.
Info për grupe specifike
VLERËSIM SHËNDETËSOR
SFIDAT E SHËNDETIT

SHËNDETËSIA DIXHITALE
Përdorni shërbimet dixhitale për të identifikuar, rezervuar, vizituar, konsultuar, trajtuar dhe ndjekur ecurinë e shëndetit tuaj.
REGJISTRO OPERATORIN & LISTO SHËRBIMIN
INDUSTRIA E SHËNDETIT
KANALI PROMOVIMIT MJEKËSOR
FJALORI MJEKESOR
Fjalor i termave mjekësore...
INFORMOHU DHE ANTARËSOHU
Bëhuni pjesë e komunitetit
Informohu për çdo gjë
Keni një pyetje apo propozim
KËRKO DHE GJEJ NË HARTË































